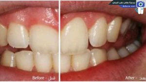
تغيير صورة الغلاف الخاصة بكرفع تغيير صورة الغلاف الخاصة بكرفع تغيير صورة الغلاف الخاصة بك هند السراج حالة حساب المستخدم هذا تمّت الموافقة حول حول المقالات المقالات التعليقات التعليقات قطع اللثة gingivectomy قبل 6 أشهر in: النصائح اليومية لا توجد تعليقات بكاء الاطفال بالعيادة السنية قبل 6 أشهر in: النصائح اليومية لا توجد تعليقات المشروبات الغازية قبل 7 أشهر in: النصائح اليومية لا توجد تعليقات هل يوجد مستقبل في طب الأسنان الرقمي؟ قبل 7 أشهر in: التعليم والطلاب, النصائح اليومية لا توجد تعليقات اهمية حمض الفوليك للحامل قبل 7 أشهر in: العناية أثناء الحمل لا توجد تعليقات إرشادات في التغطية الوقائية بالصادات قبل 7 أشهر in: الادوية في طب الاسنان لا توجد تعليقات استخدام خثرة البلازما الغنية بالصفائح الدموية في العلاج الجراحي للأكياس الجذرية السنية قبل 7 أشهر in: الأبحاث والدراسات لا توجد تعليقات نصائح للوقاية من مشاكل الاسنان قبل 8 أشهر in: الوقاية والعلاجات المنزلية لا توجد تعليقات دليل العناية بالأسنان للحامل وتجنب امراض اللثة قبل 8 أشهر in: العناية أثناء الحمل لا توجد تعليقات تقويم الاسنان قبل 9 أشهر in: التقنيات الحديثة لا توجد تعليقات